How the wording of a trigger warning changes our psychological response
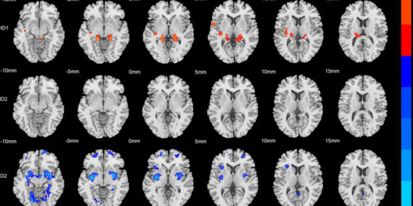
A recent psychology study found that while trigger warnings don’t reduce emotional distress, their wording drastically changes our cognitive response. Vague warnings leave the brain guessing, inadvertently causing a spike in intrusive memories days later.

